あなたの求める
理想の歯並びのゴールに
寄り添います。
歯科医師の考える100点満点の治療を
決して押し付けません。
患者様がどこまで、どの様に
治したいのかを大切にします!
- 全部の歯ではなく、
気になる部分だけ綺麗に整えたい! - 今より少しでも歯並びが
改善できると嬉しい
このようなご要望を多く受けます。
患者さまがどこまで、
どのように治したいのかをヒアリングして
ご要望・費用・期間の条件を踏まえた
最適な治療プランをご提案します。
前歯のガチャガチャを
治したい
| 治療内容 | クリアコレクト10ステップ |
|---|---|
| 治療期間 | 12ヶ月(上顎含む)5〜6ヶ月(下顎のみ)※ |
| 治療費用 | 37.95万円(税込)33万円(税込)※ |
| 分割払い | 月額3,200円(税込)〜 |
| リスクや副作用 | ブラックトライアングル |
-
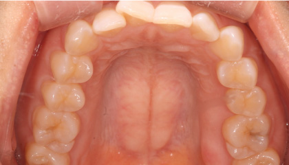
Before
-
After
※患者さまの治療ゴール(イメージ)を精度高く理解することを得意とする当院では、上顎は治療を行わず下顎のみの治療としました。結果、期間・費用を適正化することができ、患者さまのゴールイメージに合った治療となりました。
前歯のガチャガチャと
出っ歯を治したい
| 治療内容 | クリアコレクト13ステップ |
|---|---|
| 治療期間 | 1年半※ 8〜10ヶ月 |
| 治療費用 | 54.45万円(税込)※ 40.7万円(税込) |
| 分割払い | 月額4,000円(税込)〜 |
| リスクや副作用 | ブラックトライアングル |
-
Before
-
After
※患者さまは奥歯の改善は求めておらず、上下前歯をきれいにしました。
結果、期間・費用も患者さまの希望の範囲内で治療することができました。
歯並びのお悩み
ありませんか?
聖礼会のマウスピース矯正なら
早い人で3ヶ月〜で気づかれずに
歯並びをキレイに
整えることができます!
※不正咬合の度合いにより変化します
当グループでは、
1,000万件を越える
ビックデータを備えた
AI機能を活用して
科学的根拠に基づいた
精密な
治療計画を立案します。
お悩み別症例
前歯のガタガタを治したい
| 治療内容 | マウスピース矯正 |
|---|---|
| 治療期間 | 12〜13ヶ月(24回) |
| 治療費用 | 30.8万円(税込) |
| 分割払い | 月々¥3,000(税込)〜 |
-
Before
-
After
※リスク:1日20時間以上、マウスピースを
装着できない場合は歯が動かない可能性があります。
出ている前歯と、下の歯並びを治したい
| 治療内容 | マウスピース矯正 |
|---|---|
| 治療期間 | 約1年~1年半 |
| 治療費用 | 66万円(税込) |
| 分割払い | 月々¥6,500(税込)〜 |
-
Before
-
After
※リスク:1日20時間以上、マウスピースを
装着できない場合は歯が動かない可能性があります。
八重歯と出っ歯を改善したい
| 治療内容 | マウスピース矯正 |
|---|---|
| 治療期間 | 10〜12ヶ月(17回) |
| 治療費用 | 31.9万円(税込) |
| 分割払い | 月々¥3,100(税込)〜 |
-
Before
-
After
※リスク:1日20時間以上、マウスピースを
装着できない場合は歯が動かない可能性があります。
まずは
無料カウンセリング
で相談する

透明で気づかれない・
取り外し可能な
マウスピース矯正
圧倒的なグループ症例数、
年間340件以上!
当院では、世界シェアNo.1インビザライン
「ダイヤモンド・プロバイダー」として、
アライン・テクノロジー社より認定された矯正歯科医院
となっています。
年間150症例~400症例未満の場合に与えられる高グレードの認定であり、治療を提供する医師が高い技術力や実績を持っていることを示します。
また、世界的に老舗アライナーメーカーである世界シェアNo.2
「ストローマンジャパン社」より、圧倒的な症例数が多い歯科クリニックとして数少ない認定を受けております。

軽度〜重度のどんな症例も
適性価格で対応可能
矯正治療を専門とするドクターが在籍、マウスピース矯正の種類も豊富に扱っているので、軽度な症例から専門性が必要な重度の症例まで幅広く対応可能です。
ご来院いただける患者様から「もっと費用を抑えたい」「1年間で出来る所まで治したい」といった通常の歯科医院では融通が利きにくい細かなお悩みまでヒアリングし、一人ひとりに合わせた必要な治療を適正な価格で提供します。

最新設備で
正確な診断と治療が可能
従来の粘土のような印象材を口の中に無理やり入れる型取りをせずに、お口の中をスキャンし、従来の印象と同じことができる機器を導入しました。嘔吐感を感じることもなくあっという間に歯型を取ることが可能となり、さらに短い時間で高精度な情報を読み取れるようになったことで、治療の精度向上にも繋がっています。

グループ医院間で転院可能
当グループでは、「転勤やお引っ越し」などで治療途中での転院であっても近くのグループ医院で引き続き治療を継続していただくことが可能です。転院による追加費用は発生いたしませんのでご安心ください。
さらに!
初回相談の際に
3Dシミュレーションで
歯の動きをお見せします!
現在の歯ならびから、未来の歯ならびの状態になるまでの動きを正確な3Dシミュレーションにより治療開始前にご確認いただけます!
あなたの素敵な笑顔のお手伝いをしたい
「期間が長い」「治療費が高い」・・・
これが矯正のイメージです。
そのため、矯正したくても、
多くの方が二の足を踏んでいました。
私たちはそのような方のために、
手軽に始められる矯正を開始しました。
矯正治療はとても素晴らしい治療です。
口元の美しさだけでなく、
気持ちも前向きになり、
心からの笑顔が出せる。
皆さんの素敵な笑顔を見せてください!
全ての医院で
マウスピース矯正が可能お近くの医院へご相談ください
まずは
無料カウンセリング
で相談する
-
ご予約(約1分)
適用可能な歯並びなのか?/出来るだけ早く治せないか?/気になる前歯だけ治したい/など、どんなお悩みでも構いませんので、まずはお気軽にお問い合わせください。
-
初回検診(約30分~60分)
矯正歯科医師が様々な角度からあなたの歯並びを検診します。治療期間・治療回数・治療費をお伝えしますので、ゆっくりご検討ください。
-
矯正装置の製作準備(約30分)
ご契約いただいた後は、患者さんの歯型を採り、それに基づきマウスピース型矯正歯科装置の製作準備・発注を行います。
-
治療開始(最短1ヶ月〜)
ご来院いただきマウスピース型矯正歯科装置の取り扱いに関してご説明した後、マウスピース型矯正歯科装置をお渡しします。
※治療開始最短1ヶ月・患者様の口腔内状況に異なります。
-
治療終了・保定
治療直後は、歯並びが元に戻ろうとする現象が起きますので、それを防ぐため保定装置を一定期間利用していただくことをお勧めしています。
こんなご経験ないですか?
聖礼会ではこういった
お悩みにも対応できるように
歯科医師による
審査・診断のうえ、
幅広い選択肢をご用意
あなたに合った
オーダーメイドの
治療プランを
ご提案いたします!
-
世界シェアNo.1の「インビザライン矯正」
-
世界シェアNo.2の「クリアコレクト矯正」
-
純国産の「アソアライナー矯正」
治療前にかかる費用
| 矯正相談 | 無料 |
|---|---|
| 3D簡易 シミュレーション |
無料 |
| 精密検査 |
通常44,000円 インビザライン クリアコレクト ※使用するマウスピースの種類によって決定します |
クリアコレクト
| 8回コース |
総額 治療期間:4ヶ月〜6ヶ月 ※個人差あり |
|---|---|
| 12回コース |
総額 治療期間:6ヶ月〜8ヶ月 ※個人差あり |
| 18回コース |
総額 治療期間:9ヶ月〜12ヶ月 ※個人差あり |
インビザライン
| プライマリー (片顎) |
総額 |
|---|---|
| スタンダード (片顎) |
総額 |
| コンプリート (全顎) |
総額 |
※便宜抜歯
(院内:11,000円/
他院からの依頼:22,000円)
※矯正用インプラントアンカー
(院内症例:55,000円/
他院症例:110,000円)
まずは
無料カウンセリング
で相談する
横浜・世田谷・豊洲エリアに5院展開中聖礼会グループ医院一覧
神奈川県
-
〒232-0053
神奈川県横浜市南区 井土ヶ谷下町215-1
マルエツ井土ヶ谷 別棟TEL.045-743-0896井土ヶ谷駅から徒歩30秒
-
〒224-0032
神奈川県横浜市都筑区
茅ヶ崎中央5-1 港北 TOKYU S.C. 4FTEL.045-944-6480センター南駅から徒歩1分
東京都
-
〒158-0094
東京都世田谷区玉川2丁目 27-8
玉川高島屋S・Cケヤキコート3FTEL.03-3709-2525二子玉川駅から徒歩2分
-
〒135-0061
東京都江東区豊洲5丁目1番13号
ブランズタワー豊洲1FTEL.03-5534-8469豊洲駅から徒歩3分、新豊洲駅から徒歩6分
-
〒108-0075
東京都港区港南2丁目16-1
品川イーストワンタワー3FTEL.03-5463-0896JR「品川駅」直結 ※港南口(東口)3分
横浜・世田谷・豊洲エリアに5院展開中聖礼会グループ医院一覧
神奈川県
-
井土ヶ谷駅から徒歩30秒
-
センター南駅から徒歩1分
東京都
-
二子玉川駅から徒歩2分
-
豊洲駅から徒歩3分、新豊洲駅から徒歩6分
-
JR「品川駅」直結 ※港南口(東口)3分
横浜・世田谷・豊洲エリアに5院展開中聖礼会グループ医院一覧
神奈川県
-
井土ヶ谷駅から徒歩30秒
-
センター南駅から徒歩1分
東京都
-
二子玉川駅から徒歩2分
-
豊洲駅から徒歩3分、新豊洲駅から徒歩6分
-
JR「品川駅」直結 ※港南口(東口)3分
横浜・世田谷・豊洲エリアに5院展開中聖礼会グループ医院一覧
神奈川県
-
井土ヶ谷駅から徒歩30秒
-
センター南駅から徒歩1分
東京都
-
二子玉川駅から徒歩2分
-
豊洲駅から徒歩3分、新豊洲駅から徒歩6分
-
JR「品川駅」直結 ※港南口(東口)3分
横浜・世田谷・豊洲エリアに5院展開中聖礼会グループ医院一覧
神奈川県
-
井土ヶ谷駅から徒歩30秒
-
センター南駅から徒歩1分
東京都
-
二子玉川駅から徒歩2分
-
豊洲駅から徒歩3分、新豊洲駅から徒歩6分
-
JR「品川駅」直結 ※港南口(東口)3分